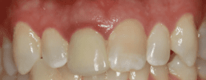
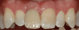
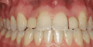
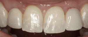
Before & After
Gallery
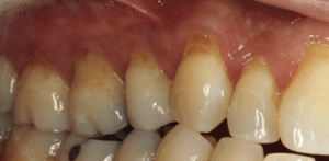
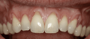
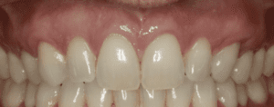
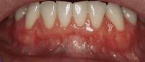
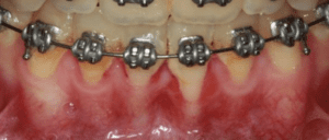
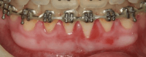
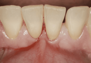
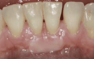
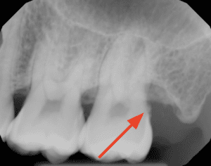
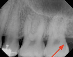
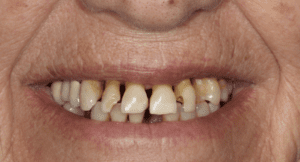
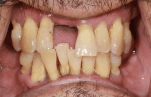
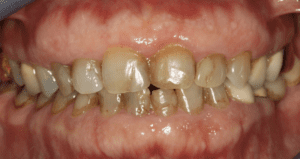
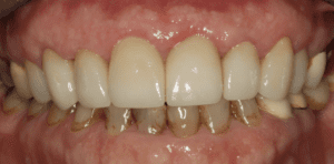
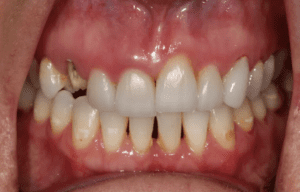
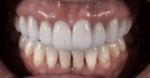
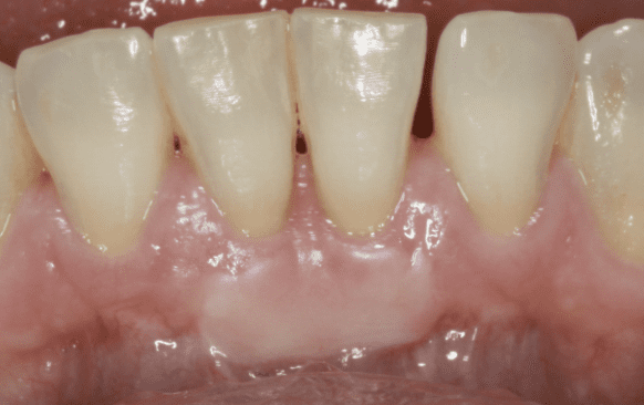
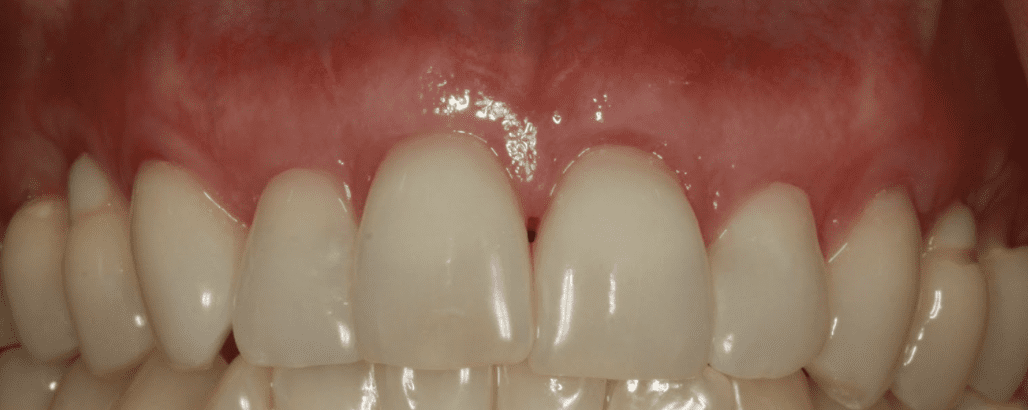
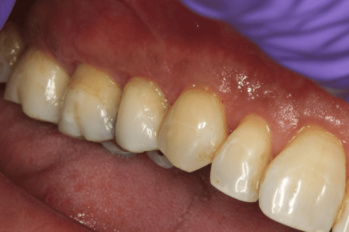
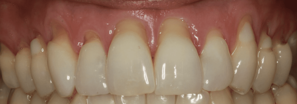
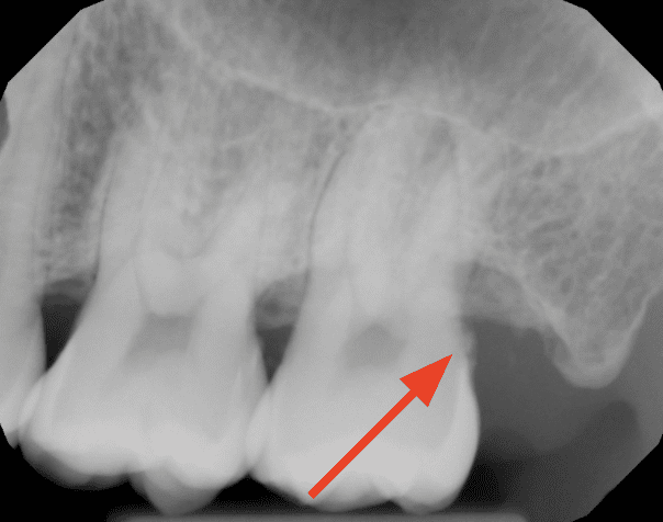
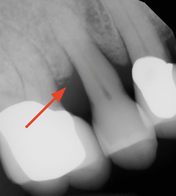
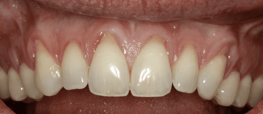
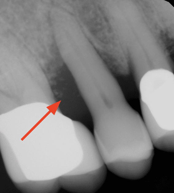
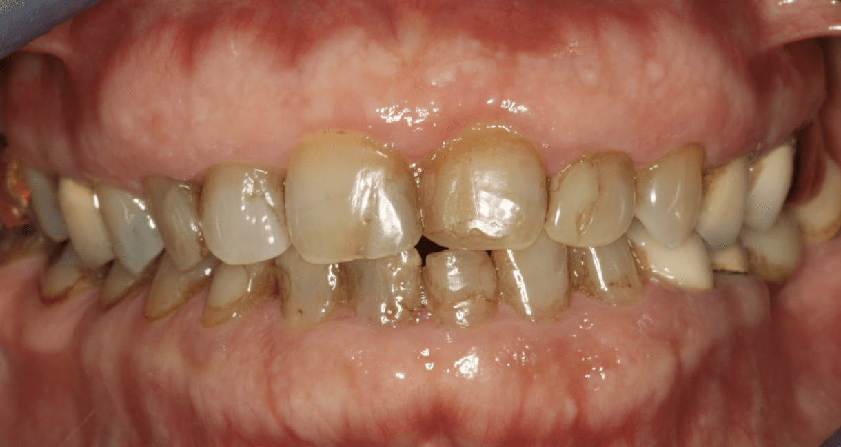
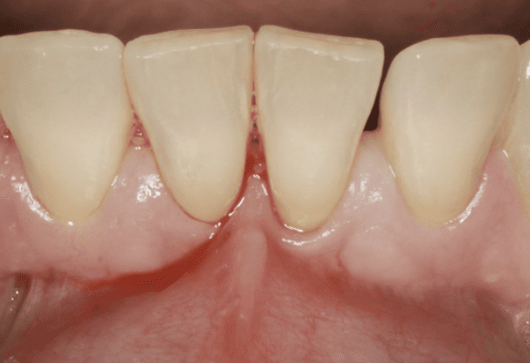
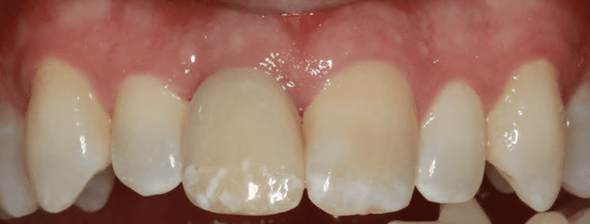
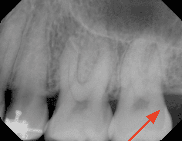
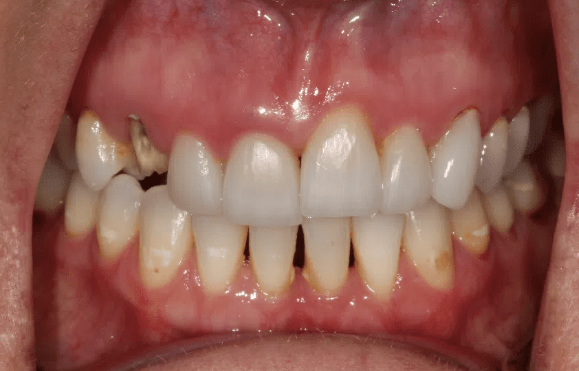
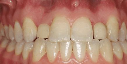
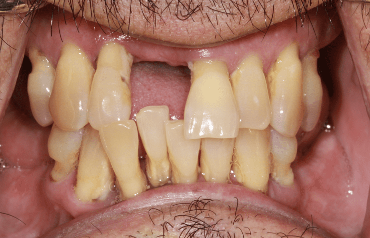
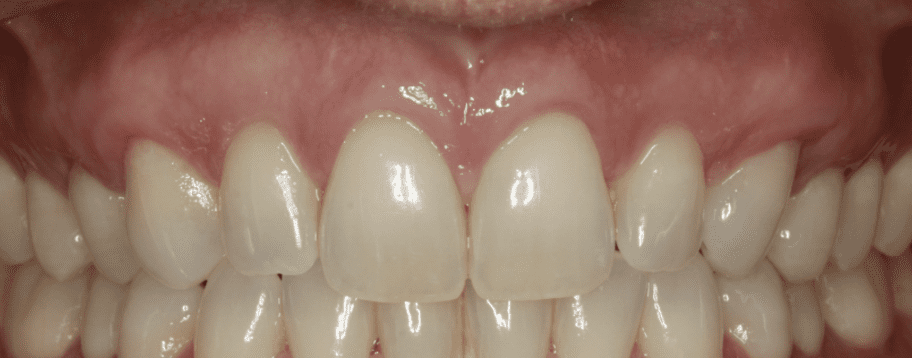
Wondering if Periodontal Associates is the right place for your periodontal care? Our gallery speaks for itself. With over 60 plus years of combined experience, our periodontists in Aurora & Centennial, Colorado, will help you achieve your healthiest smile. To get started on a treatment plan that ensures great results, we invite you to schedule a consultation with a periodontal team.
Schedule a Consultation










































